院内紹介
暖かい印象で清潔な院内はリラックスしてご利用いただけます。
駅からも近くアクセス良好なので、気軽にご来院ください。




医院の方針
一生のお付き合いが出来る歯科医院を目指します。
安全・安心で良質な医療を提供し、誠意を持って対応いたします。
インフォームドコンセントを大切にし、納得して頂けるまでお話をさせていただきます。
日々の診療で常々考えていることは、”その人にとってどの治療法が最善か”ということです。
その人の一生にとって、今何が必要かという事を提案させていただきます。
医院の特徴
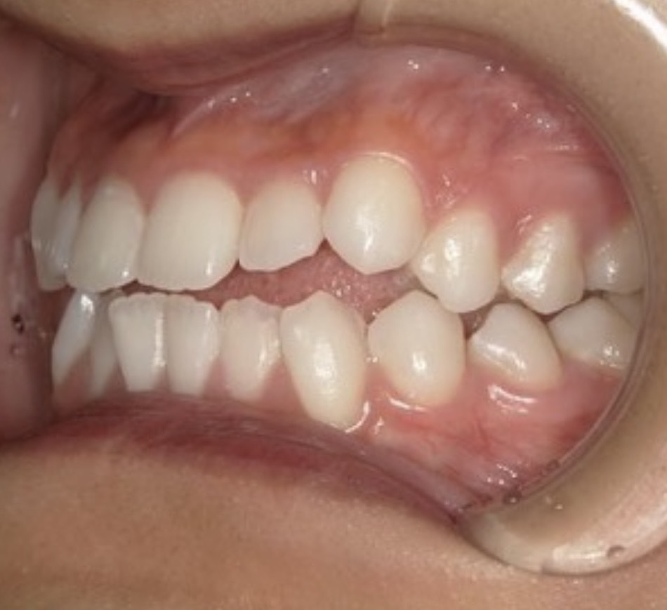
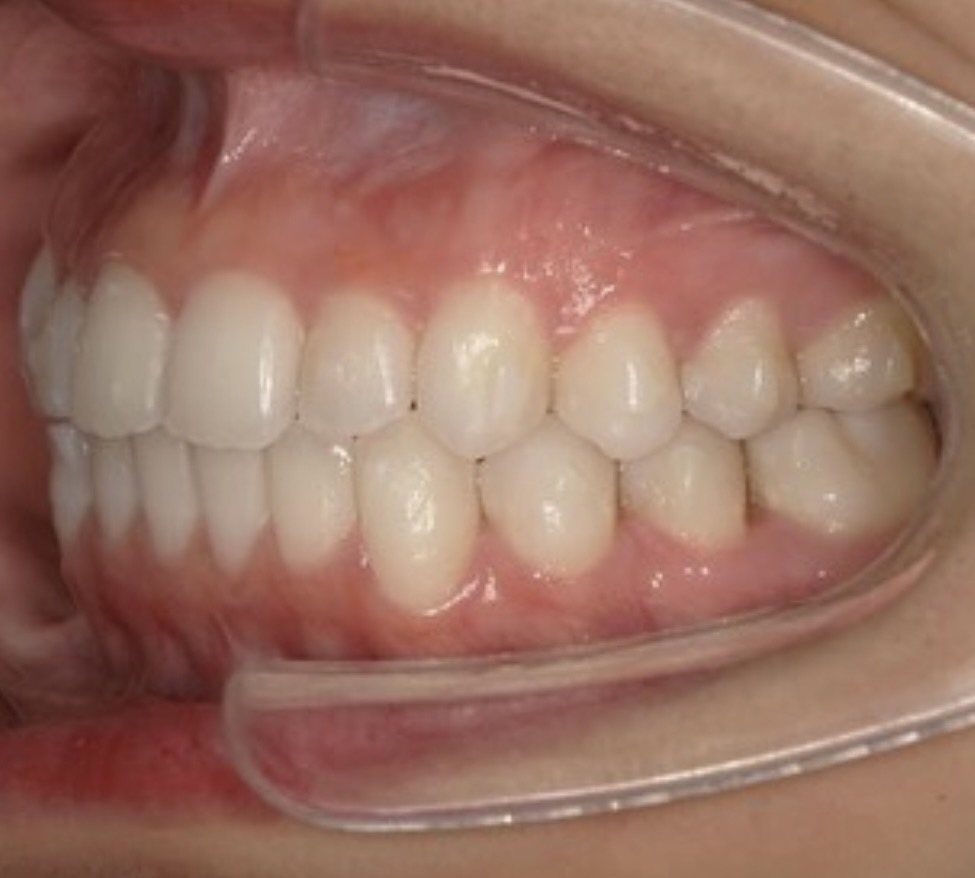
矯正歯科 1本から見えない矯正まで
矯正歯科とは、歯並びを直すことですが、見た目の美しさのだけをなおす治療ではありません。噛み合わせ、発音や咀嚼の改善にもつながる歯科治療なのです。
噛み合わせの改善で、食べ物の消化や、全身の健康に影響するのも特徴です。

Before

After




